Dr Sudatta Ray

DNB (Nuclear Medicine)

PET CT Scan

FGD PET CT

Flourodeoxyglucose PETCT is most commonly used radioisotope which utilizes increased cellular glucose metabolism in cancer cells to identify and stage most cancers like lymphoma, breast cancers, lung cancers, head and neck cancers, colorectal cancers and soft tissue sarcomas.

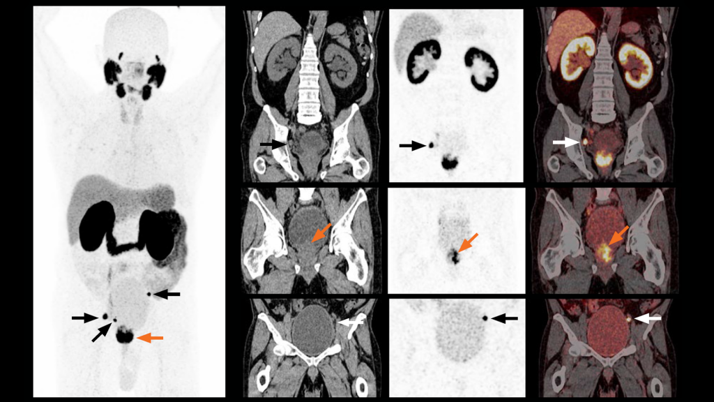
Prostate specific membrane antigen (PSMA) is a molecular glycoprotein which is substantially over expressed in prostate cancer cells. Gallium 68 PSMA PETCT is “one stop shop” best imaging modality for complete staging of prostate cancers useful in planning and reassessing treatment response.

GALLIUM 68 PSMA PET CT

GALLIUM 68 DOTANOC PET CT

Dotanoc PETCT is specifically used to identify and locate the elusive neuroendocrine tumors (NET) which is easily missed by conventional MRI or CT. Dotanoc PETCT assesses the overexpression of somatostatin receptors which is unique and is considered gold standard imaging for NET.

Flourodeoxy glucose (FDG) PET is used to identify viable myocardium to decide whether cardiac revascularization by PTCA / CABG will benefit patient suffering from coronary artery disease. FDG PET is useful in evaluation of unusual cardiac condition called cardiac sarcoidosis.

Cardiac PET

Brain PET CT

computer tomography, ct, radiography-62942.jpg

Brain studies using FDG is done for accurate evaluation of dementia based on reduced glucose metabolism in specific areas is brain which is generally normal structurally as visualized by MRI studies. Brain PET is useful in chronic epilepsy patients as modality to identify seizure focus amenable for surgical ablation.

(Best PSMA PET CT Scan In Bhubaneswar | Top PSMA PET CT Scan in Bhubaneswar)

Some More PET Studies

• Whole body FDG PET CT

• Whole body Gallium 68 PSMA PET CT

• Whole body Gallium 68 DOTANOC PET CT

• FDG brain PET for dementia

• FDG PET cardiac for myocardial viability

• FDG PET cardiac for sarcoidosis imaging.

Call

+91-8260500960

+91-7873977033

Location

K8 Kalinga Nagar, Ghatikia, Bhubaneswar, Odisha 751003

Open Hours

Mon-Fri 09:00 - 19:00

Sat-Sun 10:00 – 14:00

Copyright @ 2020 | All Rights Reserved | Designed by Fixitright Pvt Ltd